Radiografia Periapical

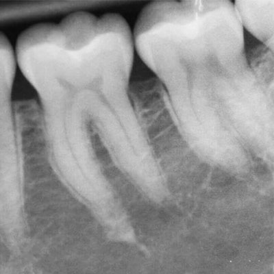
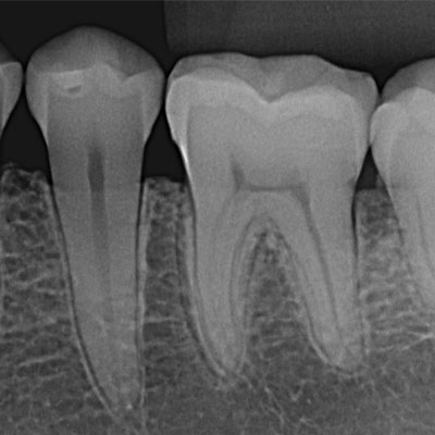
O exame radiográfico periapical proporciona ao dentista a visualização do dente em toda sua extensão, desde a coroa ao ápice, o espaço periodontal e o tecido ósseo.

A radiografia periapical ou RX periapical é um exame utilizado para mostrar radiograficamente a anatomia de um ou mais dentes (desde a coroa ao final da raiz), assim como as estruturas anatômicas vizinhas, ou seja, que estão ao redor dos dentes.

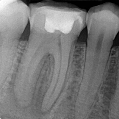
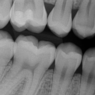
Esta radiografia pode ser usada para estudar qualquer dente (molar, pré-molar, e incisive os caninos) seja na arcada dentária superior ou na inferior para fins de diagnóstico e tratamento.

A radiografia periapical ou RX periapical é um exame utilizado para mostrar radiograficamente a anatomia de um ou mais dentes (desde a coroa ao final da raiz), assim como as estruturas anatômicas vizinhas, ou seja, que estão ao redor dos dentes.

Esta radiografia pode ser usada para estudar qualquer dente (molar, pré-molar, e incisive os caninos) seja na arcada dentária superior ou na inferior para fins de diagnóstico e tratamento.